모든 치료의 기본이 되는 자연치아살리기
자연치아살리기 원칙으로 꾸준히 믿을 수 있는 치과
자연치아 살리기 원칙을 바탕으로 꾸준히 믿을 수 있는 치과를 선도합니다.
모든 치료의 기본이 되는 자연치아살리기
자연치아 살리기 원칙을 바탕으로 꾸준히 믿을 수 있는 치과를 선도합니다.
통증, 두려움 대신 웃음과 행복
저희 치과를 방문한 환자분들의 아픔에 공감하고, 치료 전 과정에 걸쳐 환자분의 이야기를 경청하겠습니다.
저희는 과학적이고 예술적인 치과치료를 추구합니다. 높은 기술력과 첨단 장비를 통해 덜 아프고, 빠르고 정확한 치료를 제공하겠습니다.
환자분의 입장에서 조금이라도 더 편안한 진료를 위해 치열하게 고민합니다. 통증 적은 마취, 안락한 치료 과정을 통해 무섭지 않은 치과를 만들어 가겠습니다.
지역 주민 분들의 믿음직한 치과주치의로서 환자를 생각한 비용의 치료를 약속 드리겠습니다.
완성도 높은 진료, 통증 적은 진료를 위해 항상 최선을 다합니다.
박종하 대표원장
MORE DENTAL CLINIC
보건복지부 인증 통합치의학과 전문의
치의학 박사
MORE SPECIAL
어떠한 재료도 자연치아를 대체할 수는 없습니다.
강서모아치과는
자연치아를 최대한 보존하기 위해 단계별 치료를 진행합니다.
1단계
치과전문의가 치료하는 잇몸치료
2단계
꼭 필요한 곳만, 최소 침습 충치치료
3단계
신경관 폐쇄에 효과 UP! MTA 신경치료
4단계
치아를 살리는 마지막 기회 치근단절제술
강서모아치과는 오스템 연구 자문치과이자 쿠보텍 공동개발에 참여한 치과입니다. 임플란트 제조사에서도 인정하는 치과에서 안심하고 진료받으세요.
오스템 임플란트 연구 자문치과
쿠보텍 임플란트 임상 연구기관
강서모아치과 박종하 대표원장은
쿠보텍 임플란트 공동개발에 직접 참여하였습니다.
임플란트에 대한 깊은 연구 활동을 바탕으로
환자에게 좋은 조건으로 잇몸에 딱 맞는
맞춤형 임플란트를 식립해드립니다.
덴탈포비아(치과공포증)으로 내원을 미루다 악화되어
치료 시기를 놓칠 수 있습니다.
이런 공포증을 가진 분들도
무서움 없이 치과 진료를 받으실 수 있도록
강서모아치과는 언제나 노력하고 있습니다.




※진료 중에도 미온수 진료로
시림 걱정 없는 치료가 가능합니다.
강서모아치과는 앞서가는 시대에 맞춘 디지털 치과입니다. 3D CT, 디지털 스캐너, 디지털 마취기 등 치료 과정은 편안하고, 결과는 정교하게 완성됩니다.
보다 정밀한 디지털 진단
간편한 스캔 디지털 진료
통증 완화 디지털 마취
강서모아치과를 방문하시는 분들의
손길 발길이 머무는 모든 곳을 소독하고 있으며,
CDC/WHO 국제 기준에 부합한
9단계 멸균 시스템을 통해 철저히 관리하고 있습니다.
침전
1차 세척
초음파 세척
포장
건조
2차 세척
멸균
멸균 검증
보관
1996년도 부터 시작된 모아치과는 사랑 그리고 나눔의 정신이라는 공동철학으로 전국 모든 병/의원이 함께 임상, 진료, 봉사, 교육시스템을 발전시키는 치과그룹입니다.
모아는 전국 40여개 지점, 200여명의 치과의사와 500여명의 치과위생사가 함께 여러분의 구강건강을 위해 최선을 다하고 있습니다.





문제가 있는 치아를 발치 후
임플란트를 하는 것은 어렵지 않습니다.
하지만, 임플란트가 아무리 좋다 해도
자연치아를 완벽하게 대체할 수는 없습니다.
강서모아치과에서는 증상별 단계별 치료를 통하여
자연치아 살리기를 우선으로 합니다.

충치는 감염 속도가 빠르고, 신경관이나 치근 등으로 세균이 확산되어 더 큰 질환을 일으킬 수 있습니다. 강서모아치과는 정확한 진단과 주기적인 관찰을 통하여 적시에 충치를 진단하고, 필요한 치료만을 진행합니다.

충치 단계에 따라서
가장 치아를 살릴 수 있는 치료 방법을 제안드립니다.
치아 겉면인 법랑질의 충치로 통증이 거의 없습니다.
정기검진, 레진
법랑질 안쪽에 있는 상아질까지 충치가 진행되어 뜨겁거나 차가운 음식을 먹으면 시린 증상이 나타납니다.
레진, 인레이
상아질 안쪽 신경까지 염증이 진행되어 극심한 통증으로 참기 어려운 정도가 됩니다.
신경치료 + 크라운
치아 내부에 있는조직이 괴사되고, 뿌리 주변의 염증으로 인하여 뼈가 점차 소실됩니다.
고난이도 보존치료, 임플란트
MTA라는 재료를 통하여 근관을 치료하는 것으로,
생체 조직과의 적합성 등 기존 신경치료 재료에 비해
월등하다는 특징이 있습니다.
기존 신경치료에 사용되는 충전재는
온도에 의한 수축과 팽창이 쉽게 일어나면서 세균 번식의 위험이 있지만,
MTA는 감염을 차단하고 보다 안전하게
자연치아를 보존할 수 있는 재료 중 하나입니다.
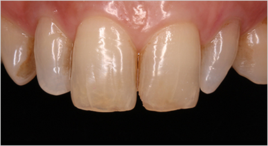
안쪽 뿌리 부분까지 선명한 파절선 (crack line)이 존재하여 발치가 권유되는 상황이였으나 신경치료로 회복한 사례
신경관까지 노출될 정도로 깊은 충치로 치아 부분이 얇아져 post 라는 단단한 기둥을 이용하여 튼튼하게 마무리한 포스트 신경치료 사례
크라운 수명이 다 되어 치아가 부러졌으며, 안쪽으로 심한 충치가 있어 충치를 제거한 후 크라운 치료한 사례
* 신경치료 시술 시 개인에 따라 부작용이 발생할 수 있습니다. * 개인의 구강 및 치아상태에 따라 치료방법과 수가가 변동될 수 있습니다. * 해당 사례는 의료법 제56조2항을 준수하여 작성되었습니다. * 본원에서 진료받은 환자이며 전후 사진의 인물이 동일인임을 밝힙니다.
구강 문제에 대한 솔루션을 제공받아
치아의 불필요한 삭제 없이
치아의 손상된 부분에 치아와 가장 비슷한 물성의 재료를
유사한 형태로 채워 넣어 손상된 치아와 잇몸을
기능적, 심미적으로 회복합니다.


벌어지고, 깨지고, 노화되고, 틀어져도 미니쉬는 언제든 당신을 만날 준비가 되어 있습니다. 미니쉬 치료는 손상된 치아를 기존 치아처럼 다시 회복시켜주는 것에 중점을 둔 복원치료입니다. 성질, 형태, 강도 모두 자연치아와 유사합니다.

치아가 벌어져 미관상 콤플렉스로 작용하거나 기능적인 문제가 발생한 경우

앞니가 정상치아보다 크거나 주변치아가 작아 상대적으로 도드라져 보이는 경우

앞니가 끝으로 갈 수록 나비가 날개 핀 모양과 같이 퍼져 보이는 경우

특정치아가 정상적인 치아에 비해 작은 경우

외부충격, 질병, 악습관, 노화 등 다양한 이유로 치아 손상이 발생한 경우

선천적 요인, 신경손상, 노화 및 레진 등의 앞니 후 앞니가 누렇게 변색 된 경우





첨단 시스템 및 다수의 장비와 인력,
3D 프린팅 공정 기술을 활용해
디자인 설계 후, 개인 치아에 맞춘 미니쉬를 제작합니다.
인위적인 아름다움의 추구를 위해
치아 건강을 해치지 않으며,
전체적인 안모의 조화까지 고려하여
자연치아와 가장 유사하게 제작합니다.

본래 가지고 태어난 치아처럼
자연스러운 회복을 위해 특허를 받은
순도가 높은 천연광물(장석) 원재료를 사용하여
미니쉬를 제작하고 있습니다.

미니쉬는 정품 보증서를 발급하여 5년 보증을 받으실 수 있는 안전하고 믿을 수 있는 치료입니다.

미니쉬는 개인의 손상된 범위와
형태만큼만 맞춤 제작되기에
사람의 지문처럼 같은 미니쉬는
단 하나도 존재할 수 없습니다.
치아에 금가있고 틀어진 앞니 미니쉬 치료한 케이스
아랫니 잇몸부위 심하게 패인 치아 미니쉬 치료한 케이스
변색되고 충치 있는 앞니 미니쉬 치료한 케이스
치아 사이에 공간 있고 이전에 받았던 레진 치료 파절되어 앞니 미니쉬 치료한 케이스
* 미니쉬 시술 시 개인에 따라 부작용이 발생할 수 있습니다. * 개인의 구강 및 치아상태에 따라 치료방법과 수가가 변동될 수 있습니다. * 해당 사례는 의료법 제56조2항을 준수하여 작성되었습니다. * 본원에서 진료받은 환자이며 전후 사진의 인물이 동일인임을 밝힙니다.
이젠 그만 기다리세요!
기다림에 지친, 시간 여유가 없으신 분들을 위한 임플란트
디지털 장비를 이용하여 발치 후
최적의 위치에 임플란트를 식립합니다.
잇몸 상태가 양호하다면 무절개 식립 후
다음 내원 시 보철 식립하여
단 2회 방문으로 임플란트가 가능합니다.
※ 환자분의 상태에 따라 내원횟수는 늘어날 수 있으며
검사 및 진단이 필요합니다.

3D CT을 통해 얻은 데이터로
뼈의 상태와 신경관의 위치를 파악하고
가상 모의 수술을 진행하여
식립위치를 정확도 높게 파악합니다.


디지털 기술력을 통해 구강 안을
정밀하게 스캔하여 얻은 디지털 데이터로
환자에게 적합한 맞춤 보철물 제작을 진행합니다.
본을 뜨지 않아 편하고, 정확성이 올라갑니다.
지르코니아는 보철계의 다이아몬드로 불리며 강도, 심미성 모두 우수한 프리미엄 보철물입니다.

맞춤 지대주를 사용하여 내 잇몸에 들뜸없이 밀착되어
임플란트 후 주위염을 방지하며,
임플란트를 오래 쓸 수 있도록 도와줍니다.
![]() |
![]() |
|
| 종류 | 일반 어버트먼트 | 맞춤 어버트먼트 |
| 구분 | 대량 생산된 기성제품 | 환자 개개인의 잇몸과 치아 형태에 맞게 맞춤 제작 |
| 비교 | 이물질이 끼일 가능성이 높음 보철물 획일적으로 제작 보철물의 파절 가능성이 높음 | 잇몸 높이에 맞게 제작되어
이물질이 끼일 가능성이 낮음
보철물의 두께, 모양 고려하여 제작 보철물의 파절 가능성이 낮음 |
※ 환자의 구강 상태에 적합한
어버트먼트(중간지대주) 시스템을 도입하여
편안한 임플란트 사용이 가능합니다.
위에는 틀니를 사용 중으로 식사를 제대로 못하셨던 사례로
살릴 수 있는 치아는 살리고, 뿌리만 남거나
예후가 불량한 치아들만 임플란트하신 케이스입니다.
윗 틀니 쓰시던 환자분 불편하셔서
전체 임플란트로 교체하신 케이스입니다.
아래 틀니를 쓰시던 환자분 불편하셔서
임플란트로 교체한 케이스입니다.
다수의 흔들리는 치아 존재하여
다수의 임플란트로 치료해드린 케이스입니다.
틀니 10년 이상 사용하시다가 통증으로 인해 내원하신 사례로
기존 치아는 살리고,
빈공간에는 뼈이식 임플란트 하신 케이스 입니다.
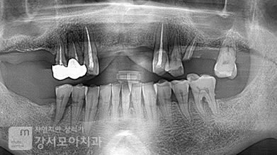
왼쪽 위아래 어금니쪽 염증이 아주 심했던 사례로
치아가 심하게 흔들리고
윗치아는 상악동, 아랫 치아는 하치조신경이라는 신경관까지
염증이 존재하였던 고난도 임플란트 케이스입니다.
뼈가 많이 녹아있었고 뿌리 부분 윗쪽으로
cyst(낭)라는 구조체 존재하였던 고난도 임플란트 케이스입니다.
오른쪽은 맨 끝 치아,
왼쪽은 큰어금니 2개가 흔들림이 심하여 발치하였으며,
심한 염증을 가라앉히고 뼈의 양이 적어
임플란트 주변 뼈를 형성하였습니다.
전신질환이 있으셔서 이 부분을 고려하여 식립하였습니다.
* 임플란트 시술 시 교합이상, 신경손상, 염증 등의 부작용이 발생할 수 있습니다. * 개인의 구강 및 치아상태에 따라 치료방법과 수가가 변동될 수 있습니다. * 해당 사례는 의료법 제56조2항을 준수하여 작성되었습니다. * 본원에서 진료받은 환자이며 전후 사진의 인물이 동일인임을 밝힙니다.
환자의 상태를 고려하여 턱의 통증을 근본적으로 치료하고 턱관절 건강을 지켜드립니다.

턱관절 치료는 시기별로 치료방법이 다릅니다. 그렇기에 담당 주치의의 지속적인 관심과 치료가 필요합니다.
간단한 물리치료
생활 습관 개선
짧은 치료 기간
물리치료
구강 내 장치
주사 요법
잘못된 생활 습관 개선
원인에 따른 추가 치료
상태에 따른 치료 기간
교합 재건
물리치료
구강 내 장치
주사 요법
잘못된 생활 습관 개선
원인에 따른 추가 치료
상태에 따른 치료 기간
올바른 치아 교합점 위치 A, B, C 점이 정확히 맞아야 올바른 교합!
개인마다 치아 모양과 형태, 악습관이 다르기 때문에 개인별로 올바른 교합 위치를 찾는 것이 핵심! 교합 치료를 통해 턱관절 위치를 맞춰드립니다
턱관절이 어긋난 상태로 교합만 맞음 이 경우 턱관절 장애 유발
턱관절이 편한 위치를 찾고 치료 계획 수립
턱관절이 편한 위치로 교합을 새로 만들어 줌
투명교정은 일반적인 브라켓 치아교정과 다르게 투명한 플라스틱 재질로 제작하여 쉽게 탈착이 가능하고 일상 생활 시에 티가 거의 나지 않아 심미적입니다.

디지털 기술력을 접목시킨 투명교정으로 교정 시작 전 교정 후의 결과를 미리 영상으로 보여드리며, 교정 여부를 판단하실 수 있습니다. 또한, A.I와 빅데이터를 활용하여 맞춤형 치아교정을 제안드립니다.


| 일반 브라켓 교정 | 투명교정 | |
|---|---|---|
| 금속 철사와 교정장치를 외부에 부착, 치아에 힘을 가하여 교정함 | 치아교정 방법 | 치아에 맞게 제작된 투명 교정장치를 끼고 기간에 따라 장치를 교체하여 착용 |
| 금속 교정장치가 보이고 발음이 새는 경향이 있음 | 외모에 주는 영향 | 투명하여 보이지 않고 적응하면 발음에 문제가 없음 |
| 불가능 | 탈착 여부 | 가능 |
| 장치가 탈락하거나 장치에 찔리는 불편함이 다수 있음 | 장치의 편안함 | 다방면에서 편리하고 편안함 |
| 정상적인 양치가 힘들어 충치가 생길 가능성이 높음 | 양치 | 장치를 빼고 양치가 가능 |
환자의 니즈에 맞춘 디테일 디자인을 통해 환한 미소를 완성해드립니다.

#원래치아인듯 #자연스러운 치아완성 #저렴한 비용
레진치료는 자연치아와 유사한 색상의 치과재료로 치아를 거의 삭제하지 않고 치아에 접착시키는 치료방법입니다.

고농도의 치아미백 약제와 특수광선을 통해 치아에 손상을 주지 않고 치아를 밝게 하는 술식입니다. 변색되거나 색소가 침착된 치아를 원래 색으로 회복시키거나 하얗게 가능합니다.

치과에서 고농도의 미백제를 이용하여 빠른 효과를 위해
약재와 함께 활성 광원이 이용됩니다.
검진 및 스케일링
잇몸 보호제 도포
치아미백 약제 도포
치아미백 광선조사
MORE DENTAL CLINIC
치아 우식이나 치주염으로 인해 치아가 상실, 파절된 경우 치아의 형태나 기능적인 면까지 맞춤 보철물을 통해 복구시킵니다.
자연치아의 가치를 알고 있기에 살릴 수 있는 가능성을 파악하고 보존합니다.
출생 직후부터 유아, 소아 및 청소년기의 구강 내 문제점을 조기에 발견하여 예방 및 치료해드립니다.
마취 시스템으로 아프지 않은 발치, 매복 되거나 누워있는 까다로운 케이스도 문제 없이 발치해 드립니다.
100% DIGITAL PROCESS
MORE INTERIOR
MORE INFORMAITON
서울특별시 강서구 강서로 323, 303호
(내발산동, 효동메디컬빌딩)
5호선 발산역 7번출구 도보 5분
건물 내 지하주차장 (건물 뒷편)
무료 이용 가능
※ 토요일은 점심시간 없이 진료합니다.
※ 일요일, 공휴일은 휴진입니다.

